牙周病怎么治?
附着在牙齿上的牙菌斑非常坚固,不能光靠“清火”、“正确的刷牙方式”来逆转,必须依靠专业的医学治疗。
牙周病需要及早治疗,否则只会越来越严重,如果长期存在,病菌和毒素进入血液循环,对全身健康产生不利影响,加重糖尿病、诱发呼吸道疾病等。

牙周病的治疗需要根据疾病的严重度来制订治疗方案。一系列的治疗包括:
●洁治(也叫洗牙,清除牙结石及菌斑)、龈下刮治(清除牙周袋内的龈下结石),去除菌斑、咬合干扰等;
●牙周手术(较严重的牙周炎可行龈翻瓣术、龈增生过度者可行增生龈切除术)
●松动牙齿的固定及修复,维持牙列的完整性。
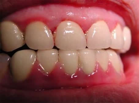
刷牙经常出血,处于牙周病初期,可以通过洗牙来治疗。
怎样预防牙周病?
预防牙周病的关键是控制口腔内细菌群落的数量,这就需要养成良好的口腔清洁习惯。
●每天早晚2次认真刷牙,每次刷牙不低于2分钟,牙齿的三个面都要仔细刷;
●饭后可以用清水漱口,有条件的话,也可以使用漱口水;
●使用牙线来帮助清除牙齿邻面的牙菌斑;
●半年或一年到医院洗牙一次;
●定期进行口腔检查,最好每6个月1次。