再好看也不能买的家具,快处理掉!能挽救孩子生命
幼儿喜欢攀爬,而这类五斗橱没有固定,稍微使劲以后,五斗橱难以保持平衡。在孩子2——6岁成长阶段中,与身体成长成正比的,是孩子的自我意识和探索欲望不断增强。你发现孩子尝试着与这个世界建立关系,通过主观能动性,自主探索附近环境。他们爱翻抽屉,爱爬衣柜……不成想,居然危险在身边,这是一件多么可怕的事情。

这样的伤害不止一起。此前有外媒报道,美国犹他州奥勒姆市(Orem)一对2岁的双胞胎兄弟在房间玩耍时,其中一名男童被倒下的衣柜压住,不过另一名男童则急中生智,用力推开柜子,拯救了自己的兄弟。全过程被家里的监视摄影机拍了下来。双胞胎爸爸思考再三,决定把这个视频分享给大家,提醒大家:家里的家具一定要固定在墙壁上,否则容易发生危险。



2——6岁的年龄阶段,父母必须主动对孩子进行安全意识教育。告诉他们开水不能摸活烫手,窗户不能爬会发生危险等等。但更重要的是,要在安全事故发生之前,尽量帮助孩子解决家居生活的的安全隐患。
1、五斗橱
五斗橱的杀伤力已经不必在赘述,但不得不强调的是,与五斗橱类似的家居橱柜一样的需要被纳入监控范围之内。那些能够被孩子轻易翻动的矮柜和橱柜,必须固定,比如对柜门、抽屉进行封锁,孩子打不开就大幅度降低了危险的发生。

五斗橱此类的柜子一定要固定!
2、门
有一次小小费在门边和我们嬉戏,闹得正欢他用力把门一关。小手每一及时撤回来,手指被夹淤血。所以家里的卧室门最好装上安全门卡。

3、刀具
有了孩子之后,家里的菜刀、水果刀等等一切刀具一定要保管好。我有一位朋友做法很好,厨房中的道具统一放在大人举起手才触碰到的地方。客厅卧室的剪刀等,锁在一个抽屉里。确保年幼的孩子不被伤害。
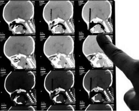
4、筷子或者笔
建议2——3岁左右的孩子使用筷子或者笔时,父母必须在旁边看护。已有孩子不慎跌倒,导致筷子或笔扎入头部的悲剧发生了。

一女童玩耍时,筷子插入颅腔
5、开水壶、热汤等
每每看到那些被开水烫伤的孩子们在医院痛苦模样,让人十分心痛。一瓶开水带来的杀伤力不仅仅会造成身体上的伤害,严重的烫伤会对孩子未来的人生造成不可估量的消极影响,所以要尽量放在孩子够不着的高度。
除了这些最常见的伤害之外,父母还应该与孩子建立起亲密的关系,在和谐融洽的亲子关系中,耐心的去给孩子灌输安全意识,从生活的细节一点一滴的教起,帮助他们构建能够帮助他们安全度过童年的防范意识。